Leaderboard

Sie sind hier: Fortbildung » Radiologie-Quiz 13. November 2025
Suchen
tellmed.ch
Radiologie-Quiz
Erweiterte Suche
Fachliteratur
Fortbildung
Radiologie-Quiz
Röntgenfall des Monats
EKG-Quiz
Labor-Quiz
Kongresse/Tagungen
Tools
Humor
Kolumne
Presse
Gesundheitsrecht
Links
 

Zum Patientenportal

 
Schrift: Schrift grösser Schrift kleiner Als Email versenden Druckvorschau

 Das Portal für Ärztinnen und Ärzte

Tellmed richtet sich ausschliesslich an Mitglieder medizinischer und pharmazeutischer Berufe. Für Patienten und die Öffentlichkeit steht das Gesundheitsportal www.sprechzimmer.ch zur Verfügung.

 

Rect Top

Radiologie Quiz 44

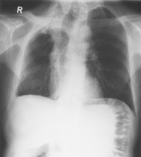
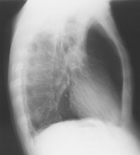
Ein 71-jähriger Italiener beklagt sich über einen reduzierten Allgemeinzustand und subfebrile Temperaturen. Er raucht seit 45 Jahren.

Husten und Auswurf hätte er immer gehabt, berichtet der Patient. Mit der Frage nach einem Infiltrat wird ein Röntgenbild verordnet:

 

Thorax pa

Bild vergrössern

 Thorax seitlich

Bild vergrössern

 

 

Frage 1

Welche Befunde imponieren (mehrere richtige Antworten möglich)?

 

Mediscope

31.05.2011 - dde

 
Adserver Footer
Rect Bottom
 

Fachportal Gastroenterologie:
Abklärung, Diagnose
Therapie, Prävention

Eisen-Fachportal:
Eisenmangel und Eisenmangelanämie
Sprechzimmer: Patientenratgeber
Sky right 1