Leaderboard

Sie sind hier: Fortbildung » Radiologie-Quiz 13. November 2025
Suchen
tellmed.ch
Radiologie-Quiz
Erweiterte Suche
Fachliteratur
Fortbildung
Radiologie-Quiz
Röntgenfall des Monats
EKG-Quiz
Labor-Quiz
Kongresse/Tagungen
Tools
Humor
Kolumne
Presse
Gesundheitsrecht
Links
 

Zum Patientenportal

 
Schrift: Schrift grösser Schrift kleiner Als Email versenden Druckvorschau

 Das Portal für Ärztinnen und Ärzte

Tellmed richtet sich ausschliesslich an Mitglieder medizinischer und pharmazeutischer Berufe. Für Patienten und die Öffentlichkeit steht das Gesundheitsportal www.sprechzimmer.ch zur Verfügung.

 

Rect Top

Radiologie Quiz 41

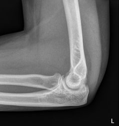
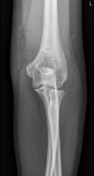
Eine 37 Jahre alte Frau stürzt auf dem Eis zu Boden und stützt sich mit dem linken Arm noch ab. Wegen Schmerzen im linken Ellbogen geht sie zum Arzt, welcher das folgende Röntgenbild macht.

Der erstbehandelnde Arzt sieht auf dem Röntgenbild keine Fraktur und verordnet der Patientin Schmerzmittel. Weil die Schmerzen aber nicht bessern, meldet sich die Patientin wieder und das Röntgenbild wird noch einmal beurteilt:

 

Ellbogen ap

Bild vergrössern

 Ellbogen seitlich

Bild vergrössern

 

 

Frage

Wie beurteilen Sie das Röntgenbild?

 

 

Mediscope

10.12.2010 - dde

 
Adserver Footer
Rect Bottom
 

Fachportal Gastroenterologie:
Abklärung, Diagnose
Therapie, Prävention

Eisen-Fachportal:
Eisenmangel und Eisenmangelanämie
Sprechzimmer: Patientenratgeber
Sky right 1