Leaderboard

Sie sind hier: Fortbildung » Radiologie-Quiz 13. November 2025
Suchen
tellmed.ch
Radiologie-Quiz
Erweiterte Suche
Fachliteratur
Fortbildung
Radiologie-Quiz
Röntgenfall des Monats
EKG-Quiz
Labor-Quiz
Kongresse/Tagungen
Tools
Humor
Kolumne
Presse
Gesundheitsrecht
Links
 

Zum Patientenportal

 
Schrift: Schrift grösser Schrift kleiner Als Email versenden Druckvorschau

 Das Portal für Ärztinnen und Ärzte

Tellmed richtet sich ausschliesslich an Mitglieder medizinischer und pharmazeutischer Berufe. Für Patienten und die Öffentlichkeit steht das Gesundheitsportal www.sprechzimmer.ch zur Verfügung.

 

Rect Top

Radiologie Quiz 38

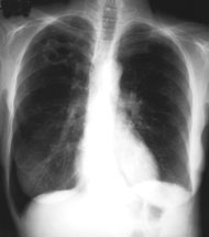
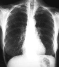
Eine 70-jährige Patientin meldet sich bei Ihnen in der Praxis mit Verschlechterung des Allgemeinzustandes seit 4-5 Wochen und Fieber bis maximal 38.5 Grad.

Des weitern klagt sie über einen trockenen Husten. Ausser einer arteriellen Hypertonie besteht als Vorerkrankung eine leichte COPD. Da Sie ausser dem Husten keinen klinischen Fokus für einen Infekt finden, entschliessen Sie sich für ein Thorax-Bild. Optimalerweise haben Sie sogar noch ein pa-Thorax von vor 2 Jahren zum Vergleich:

 

Thorax pa aktuell

Bild vergrössern

Thorax pa vor 2 Jahren

Bild vergrössern

 

 

Frage

Welche Differentialdiagnosen kommen in Frage (mehrere richtige Antworten möglich)?

Mediscope

06.04.2010 - dde

 
Adserver Footer
Rect Bottom
 

Fachportal Gastroenterologie:
Abklärung, Diagnose
Therapie, Prävention

Eisen-Fachportal:
Eisenmangel und Eisenmangelanämie
Sprechzimmer: Patientenratgeber
Sky right 1